تسوس الأسنان.. أسبابه ومراحله وأحدث طرق العلاج والوقاية
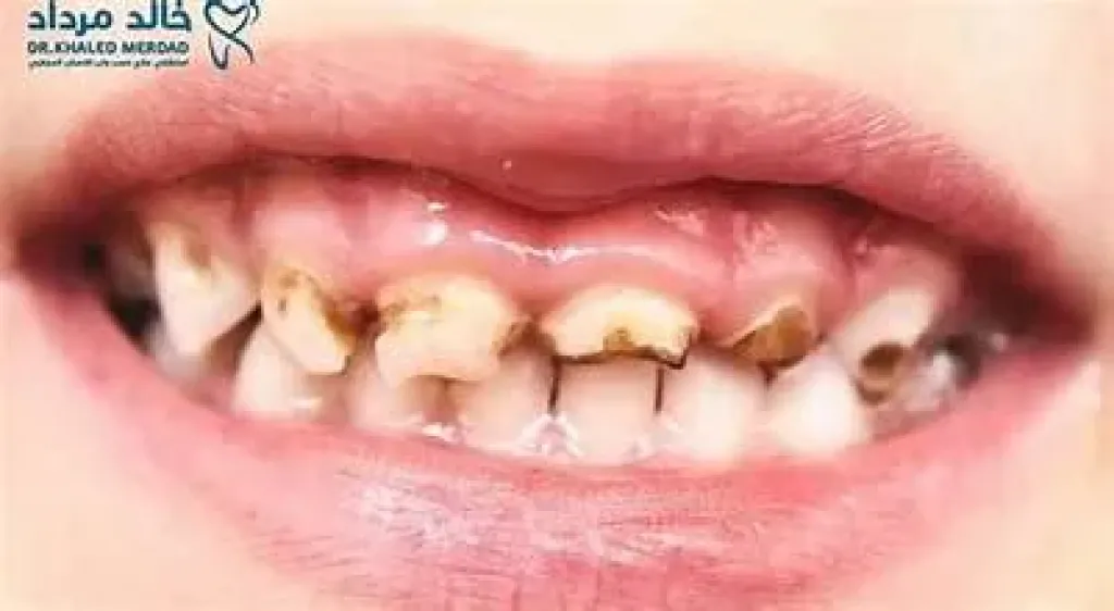
يُعد تسوس الأسنان من أكثر المشكلات الصحية انتشارًا حول العالم، ولا يقتصر على الأطفال فقط كما يعتقد البعض، بل يمكن أن يصيب أي شخص لديه أسنان. ويحدث التسوس نتيجة تآكل تدريجي في طبقات السن بسبب الأحماض التي تنتجها البكتيريا داخل الفم، ما يؤدي إلى ظهور ثقوب قد تتطور إلى آلام شديدة ومضاعفات خطيرة إذا لم تُعالج مبكرًا.
الإهمال في تنظيف الأسنان أو الإفراط في تناول السكريات من أبرز الأسباب التي تمهد الطريق لهذه المشكلة الشائعة.
كيف يبدأ تسوس الأسنان؟
يحتوي الفم على أنواع متعددة من البكتيريا، تتغذى على السكريات والنشويات الموجودة في الطعام. وخلال نحو 20 دقيقة من تناول هذه الأطعمة، تبدأ البكتيريا في إنتاج أحماض تلتصق بالأسنان مكوّنة ما يُعرف بـ"اللويحة السنية".
تتسبب هذه الأحماض في مهاجمة طبقة المينا، وهي الطبقة الخارجية الصلبة التي تحمي السن، ومع استمرار التآكل تنتقل البكتيريا إلى الطبقات الأعمق مسببة تلفًا أكبر.
مراحل تطور تسوس الأسنان
يمر التسوس بعدة مراحل تدريجية:
-
تآكل طبقة المينا: بداية ظهور بقع أو ثقوب صغيرة.
-
وصول التسوس إلى العاج: وهو أكثر ليونة من المينا، ما يسرّع انتشار الضرر.
-
التأثير على لبّ السن: حيث تصل العدوى إلى الأعصاب، مسببة ألمًا حادًا والتهابًا.
-
تكوّن خُراج: في الحالات المتقدمة، قد يتكون صديد نتيجة الالتهاب الشديد.
وتُعد الأضراس الخلفية أكثر عرضة للتسوس بسبب صعوبة تنظيفها واحتوائها على تعرجات تحتجز بقايا الطعام.
أنواع تسوس الأسنان
يمكن لطبيب الأسنان تحديد نوع التسوس، والذي ينقسم إلى:
-
تسوس السطح الخارجي: يصيب المينا وغالبًا يكون سهل العلاج في مراحله المبكرة.
-
تسوس الشقوق والطواحين: يظهر في الفجوات العميقة للأسنان الخلفية ويتطور سريعًا.
-
تسوس جذور الأسنان: يصيب منطقة الجذر ويكثر لدى كبار السن أو من يعانون من تراجع اللثة.
أعراض تسوس الأسنان
قد لا تظهر أعراض في البداية، لكن مع تقدم الحالة قد يعاني المصاب من:
-
ألم الأسنان
-
حساسية تجاه الساخن أو البارد
-
ألم عند المضغ
-
ثقوب ظاهرة في الأسنان
-
تورم أو قيح حول السن
أسباب وعوامل خطر تسوس الأسنان
من أبرز الأسباب والعوامل التي تزيد خطر الإصابة:
-
إهمال تنظيف الأسنان
-
الإفراط في تناول السكريات والمشروبات الغازية
-
جفاف الفم وقلة إفراز اللعاب
-
تراجع اللثة
-
اضطرابات الأكل
-
عدم الحصول على الفلوريد الكافي
-
بعض العلاجات الطبية مثل العلاج الإشعاعي
كما يمكن أن تنتقل البكتيريا المسببة للتسوس بين الأشخاص عبر مشاركة أدوات الطعام.
مضاعفات تسوس الأسنان
إهمال العلاج قد يؤدي إلى:
-
آلام مزمنة
-
خُراج الأسنان
-
تكسّر أو فقدان السن
-
صعوبة المضغ
-
التهابات خطيرة قد تنتشر إلى مناطق أخرى
وفي بعض الحالات النادرة، قد يشكل الخُراج غير المعالج خطرًا على الحياة.
تشخيص تسوس الأسنان
يعتمد التشخيص على:
-
الفحص السريري لدى طبيب الأسنان
-
استخدام أداة خاصة للكشف عن المناطق اللينة
-
الأشعة السينية لتحديد عمق التسوس
علاج تسوس الأسنان
يتحدد العلاج وفقًا لدرجة التسوس، ومن أبرز الخيارات:
-
العلاج بالفلوريد في المراحل المبكرة
-
حشوات الأسنان
-
علاج عصب السن
-
تركيب تاج (غطاء كامل للسن)
-
خلع السن في الحالات المتقدمة
كيف يمكن الوقاية من تسوس الأسنان؟
الوقاية تبقى الحل الأفضل، وذلك من خلال:
-
تنظيف الأسنان مرتين يوميًا بمعجون يحتوي على الفلوريد
-
استخدام خيط الأسنان يوميًا
-
تقليل السكريات
-
زيارة طبيب الأسنان دوريًا
-
شرب ماء يحتوي على الفلوريد
-
استخدام غسول فم مضاد للبكتيريا عند الحاجة
هل تفيد الأعشاب في علاج التسوس؟
الأعشاب مثل القرنفل، الزنجبيل، النعناع، البابونج، الزعتر، والثوم قد تساعد في تخفيف الألم مؤقتًا، لكنها لا تعالج التسوس نفسه، ويظل التدخل الطبي ضروريًا.
